• Slide title

    Write your caption here
    Button
  • Slide title

    Write your caption here
    Button
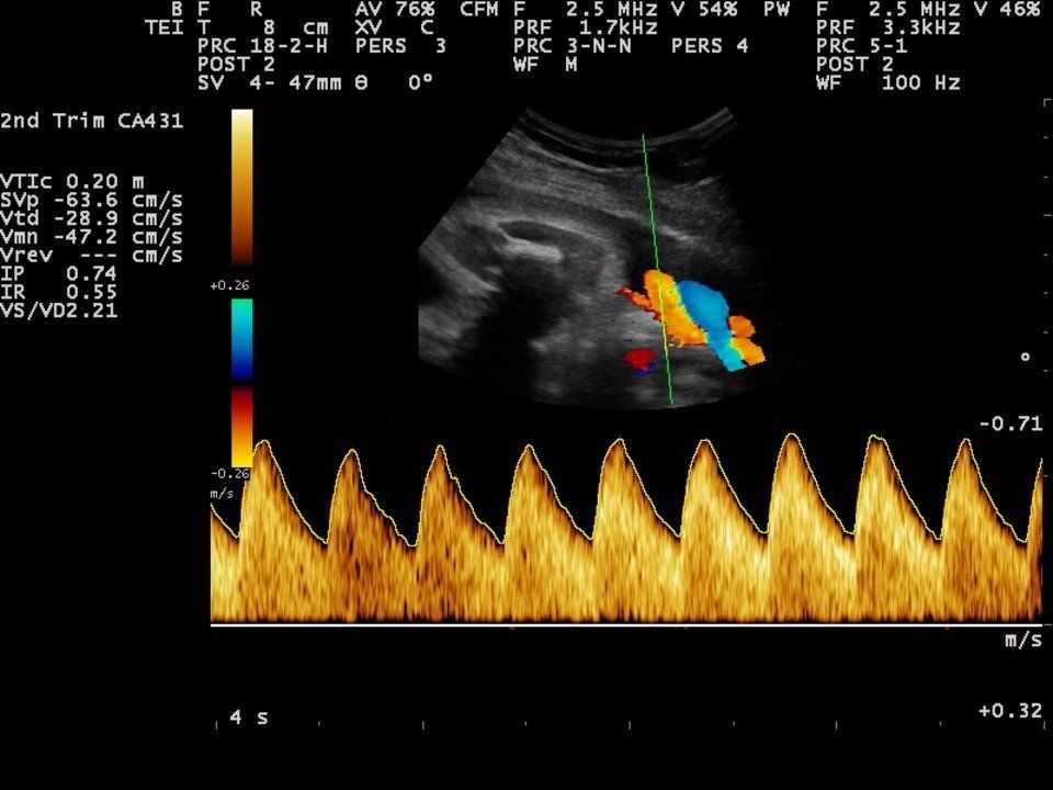
  • Doppler Scan

    Write your caption here
    Button

Doppler Scan

One of the main aims of routine antenatal care is to identify babies who are not thriving in the womb. It is possible that medical interventions might improve outcomes for these babies, if they can be identified. Doppler ultrasound uses sound waves to detect the movement of blood in vessels. It is used in pregnancy to studyblood circulation in the baby, uterus and placenta. Using it in high-risk pregnancies, where there is concern about the baby's condition, shows benefits. 

Uterine artery Doppler scans:

Uterine arteries are the vessels which carry blood to your womb (uterus). A uterine artery Doppler scan checks that enough blood is reaching your placenta. 

Your baby needs plenty of nutrients and oxygen to grow at a healthy rate. Therefore, the walls of your uterine arteries should be stretchy, to allow as much blood through as possible. In pregnancy, these normally small arteries increase in size to allow more blood to reach your womb easily. 

If blood can’t get through to the placenta easily enough, your baby may not get the nutrients and oxygen he needs via the umbilical cord. 

Uterine Artery Doppler Scan


£79 (Today's Deal £59 )

  • Wellbeing assessment includes position of baby and placental position.
  • Growth report includes estimated weight of baby at current gestation. 
  • Amniotic Fluid index measurement.
  • Umbilical artery Doppler measurement.
  • Uterine Artery Doppler measurement.
  • Complimentary gender confirmed if requested
  • 2D b/w images.
  • 2x  key-rings or 1x keyring and 1x Fridge-magnet. 
  • 4D preview.
  • 30 minutes appointment.

£79 (Today's Deal £59 ) Book Online Now